vor up zurück Inhalt

   
Rastertunnelmikroskopie

Für die rastertunnelmikroskopischen Untersuchungen an Faseroberflächen wurden die P120-Faser, die P120*-Faser, die P120*-Faser nach einer Oxidation bei 450°C (20h), die P120*-Faser nach Imprägnierung mit Ferrocen und anschließender Oxidation bei 450°C (20h) sowie dieselbe Faser, wobei vor der Oxidation eine Ozonbehandlung (1h bei Raumtemperatur) durchgeführt wurde, verwendet. Insgesamt sind die rasterelektronenmikroskopischen und rasterkraftmikroskopischen Untersuchungen aussagekräftiger als die entsprechenden rastertunnelmikroskopischen Aufnahmen.

Der Effekt der Reinigung der Faseroberfläche der P120-Faser ist in Abbildung 25 zu sehen. Die P120*-Faser war sehr gut aufzunehmen und es konnten scharfe Aufnahmen der Faseroberfläche erhalten werden, während bei allen anderen Untersuchungen aufgrund von Schlierenbildung erhebliche Schwierigkeiten bei der Probenaufnahme auftraten.

P120as P120as
P120* P120*
Abbildung 25: Rastertunnelmikroskopische Aufnahmen der P120-Faser (a, b) und der P120*-Faser (c, d); (a) 15 x 15 nm2; (b) 10 x 10 nm2; (c, d) 15 x 15\,nm2.

Bei der P120-Faser gelangen nur verschmierte, unscharfe Aufnahmen (Abbildungen 25(a) und 25(b)); diese Beobachtungen können als Hinweis auf einen Oberflächenfilm gedeutet werden. Darüber hinaus zeigen die Aufnahmen der P120*-Faser (Abbildungen 25(c) und 25(d)) große, geordnete, graphitische Bereiche.

Nach Oxidation der P120*-Faser bei 450°C (20h) lassen sich lokale Angriffe erkennen, daß heißt, graphitische Bereiche wurden offensichtlich nicht in nennenswertem Umfang angegriffen.

P120* 20h Sauerstoff P120* 20h Sauerstoff
Abbildung 26: Rastertunnelmikroskopische Aufnahmen der P120*-Faser nach \mbox{einer} Sauerstoffbehandlung bei 450 °C; dT/dt  = 0,3 K/min; Haltezeit = 20\,h; (a) 25 x 25 nm2; (b) 15 x 15 nm2.

Die Oxidation nach einer Imprägnierung mit Ferrocen (0,01mol/l Ferrocen in NMP) führt zu einem Angriff der Graphenschichten, wie in Abbildung 27 zu sehen ist.

In Abbildung 27 ist weiterhin ein punktuell verstärkter Angriff, ein sogenanntes Pitting, zu erkennen.

P120* nach Imprägnierung und Sauerstoffbehandlung P120* nach Imprägnierung und Sauerstoffbehandlung
Abbildung 27: Rastertunnelmikroskopische Aufnahmen der mit 0,01 mol/l Ferrocen in NMP imprägnierten P120*-Faser nach einer Sauerstoffbehandlung bei 450\grad; dT/dt = 0,3 K/min; Haltezeit = 5 h; (a), (b) 20 x 20 nm2.

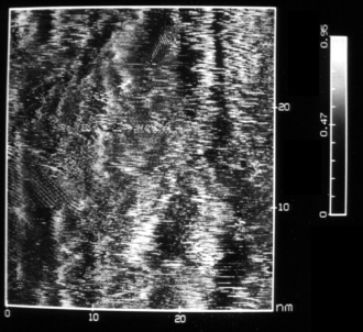
Der Effekt einer vorangeschrittenen katalysierten Oxidation läßt sich aus Abbildung 28 entnehmen. Die graphitischen Bereiche der Faseroberfläche sind völlig zerstört. Die dadurch freigelegten inneren Strukturen wirken als Kerbstellen, wodurch die mechanischen Eigenschaften (z.B. die Festigkeit) sehr stark verschlechtert werden.

Abbildung 28: Rastertunnelmikroskopische Aufnahmen der mit 0,01 mol/l Ferrocen in NMP imprägnierten P120*-Faser nach einer einstündigen Ozonbehandlung bei Raumtemperatur und anschließender Sauerstoffbehandlung bei 450 °C; dT/dt = 0,3 K/min; Haltezeit = 20 h; (a) 50 ,x 50 nm2; (b) 30 x 30 nm2; (c) 30 x 30 nm2; (d) 20 x 20 nm2.

Die mit dem Rastertunnelmikroskop ermittelten Oberflächenstrukturen stimmen mit den entsprechenden rasterkraftmikroskopischen Bildern überein.

Anhand der in diesem Kapitel aufgeführten Bilder der Faseroberfläche ist eine Schädigung der Faser durch eine Oxidation sehr gut zu erkennen. Diese starke Faserschädigung, vor allem durch eine lange Oxidation, führt zu einer starken Verschlechterung der mechanischen Eigenschaften. In Tabelle 6 sind einige mechanische Eigenschaften der mit 0,01mol/l Ferrocen in NMP imprägnierten P120*-Faser nach einer 20-stündigen Oxidation angegeben.

Tabelle 6: Tabellarische Übersicht der mechanischen Eigenschaften der P120*-Faser und der mit 0,01 mol/l Ferrocen in NMP imprägnierten P120*-Faser nach einer 20-stündigen Oxidation in Sauerstoff.
Eigenschaft Hersteller1 / Literatur2 P120* P120* nach Oxidation
E-Modul, GPa 832 538 502
Zugfestigkeit, MPa 2540 1722 1025
Weibullfestigkeit, MPa3 -- 1923 1191
Zerreiß-Dehnung, % 0,310 0,325 0,192
[1] Datenblatt der P120-Faser von der Firma Amoco Performance Products, Inc.
[2] Literatur: 83, 38 - 40]
[3] siehe auch Kapitel 2.3.3 und A.2

Für die P120-Faser wurden dieselben Werte wie für die P120*-Faser ermittelt, deshalb sind zum Vergleich nur die Werte für die P120*-Faser wiedergegeben. Die Faser verfügt über einen wesentlich niedrigeren E-Modul als vom Hersteller angegeben. Da die Zerreiß-Dehnungen in erster Näherung übereinstimmen, ergibt sich aufgrund des geringen E-Moduls eine niedrigere Festigkeit.

Eine 20-stündige katalysierte Oxidation hat einen geringen Einfluß auf den E-Modul, daraus ergibt sich, daß die stark verminderte Festigkeit aus einer Abnahme der Bruchdehnung in Folge einer höheren Anzahl von Defekten resultiert.


vor up zurück Inhalt